• 1
    DIAGNOSI PRECOCE DELLA CARIE

    Grazie al LASER DIAGNOSTICO possiamo diagnosticare l'insorgere delle carie anche di piccole dimensioni senza l'utilizzo di radiografie con il vantaggio per i pazienti di evitare inutili esposizioni a radiazioni che possono essere dannose.
  • 1
    Denti fissi in 1 GIORNO

    Grazie all’ implantologia a carico immediato puoi avere denti fissi in un solo giorno ... e senza dolore!

    NO bisturi, NO punti!

    Eseguiamo interventi di chirurgia implantare senza bisturi e senza punti di sutura per una veloce riabilitazione
  • 1
    Dentista a DOMICILIO

    I nostri operatori sono in grado di curare a domicilio la maggior parte delle patologie odontoiatriche, presso pazienti allettati e non in grado di muoversi.

    Oltre alle emergenze e alle cure, siamo in grado di realizzare e riparare protesi.
  • 1
    Addio fili metallici!

    Oggi, grazie all'ORTODONZIA INVISIBILE, è possibile allineare i denti senza dover ricorrere all’uso di placche e fili metallici.

    Attraverso una serie di mascherine trasparenti i denti si spostano lentamente, senza che nessuno visivamente si accorga di cosa portiamo in bocca.

Eccellenza in Implantologia

implantologo roma

Lo studio dentistico Cirotti vanta da sempre un ruolo pioneristico nel settore implantologico, in virtù delle tecnologie all'avanguardia di cui dispone.
Tre sono gli apsetti essenziali sui quali lo Studio Dentistico del Dr. Bruno Cirotti investe in particolar modo:

  • la diagnosi completa dello stato di salute della bocca del paziente ed il relativo piano di trattamento;
  • la comunicazione in merito alle cure, per arrivare al consenso informativo sulla scelta del programma terapeutico consigliato;
  • l'assoluta sicurezza e l'elevata competenza negli interventi implantologici e protesici, dove vengono messi a frutto una pluriennale esperienza e l'impegno dei sistemi più evoluti a livello internazionale con garanzia di successo a lungo termine.



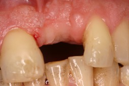
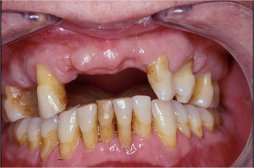
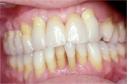
ECCO ALCUNI CASI RISOLTI CON SUCCESSO


Prima

Dopo

 

Prima

Dopo

 


IL PROBLEMA DELLE PERIMPLANTITI


Negli ultimi vent’anni l’utilizzo di protesi supportate da impianti endo-ossei ha avuto un enorme diffusione, sia per la maggior richiesta di benessere da parte dei pazienti, sia per la spinta decisiva delle aziende produttrici di implantoprotesi, che hanno fatto sì che ora l’implantologia appaia a molti operatori come la prima scelta nelle riabilitazione protesica delle edentulie, siano esse singole o multiple.

Purtroppo l’entusiastica adesione all’implantologia, ha fatto sottovalutare, in molti dentisti, il rischio, ben presente, di successiva malattia perimplantare, soprattutto in quei casi nei quali sono stati reclutati pazienti dal chiaro profilo parodontale a rischio. E purtroppo anche gli autori più accreditati in ambito della chirurgia impiantare, che hanno prodotto una enorme mole di dati, volti a confermare in innumerevoli studi la predicibilità di successo impiantare, si sono spesso scordati di occuparsi seriamente ed in modo approfondito della successiva malattia perimplantare, con la conseguenza che al momento non ci sono dati certi né sulla sua diffusione e frequenza, né sulle possibilità terapeutiche di curarla.

In buona sostanza quasi tutti i lavori fatti sulla sopravvivenza delle fixture implantari non prendono in considerazione la salute dei tessuti molli (almeno nella raccolta di dati), considerando spesso più significativo il dato riguardante il numero delle protesi ancora in funzione, piuttosto che l’aspetto perimplantare. E ci sono solo pochi lavori che prendono in considerazione quanti impianti hanno una mucosite o una vera e propria perimplantite, sia cronica che acuta. La maggior parte degli articoli, infatti, riporta solo qualche dato sulla mobilità o meno delle viti implantari -- indice, questo, di fallimento, non di malattia-- o si limita ad una generica definizione di infezione perimplantare, nell’elencare le cause d’insuccesso.

Cosicchè, come spesso accade in medicina, sempre più di frequente, stanno ora arrivando alla nostra osservazione casi di pazienti riabilitati con impianti, che presentano chiari segni di malattia perimplantare, e questa novità ci trova spesso impreparati. Per questo motivo credo che la sfida che si pone oggi come la più interessante ed incerta in odontoiatria, è senza dubbio quella volta alla terapia risolutiva delle perimplantiti.

Ma in realtà, quali sono le acquisizioni scientifiche sulle infezioni intorno agli impianti, che abbiamo a disposizione oggi?

Tutto sommato abbastanza poche, ma sufficienti per darci almeno degli indirizzi di comportamento. Così, almeno, ci dice il recente Consensus del 7° workshop on periodontology. Il prof. Lang et. al. (1) in una revisione critica della letteratura prendono in considerazione solo 4 lavori che riguardano la malattia perimplantare nelle sue due forme, tanto di mucosite che di perimplantite ed arrivano alla conclusione che la mucosite sia molto simile alla gengivite marginale, così come la perimplantite è molto vicina alla parodontite. La similitudine riguarda soprattutto le popolazioni batteriche, sostanzialmente uguali a quelle dei denti naturali, sia per il tipo, sia per la reazione di risposta dell’ ospite, che a volte produce una capsula di tessuto connettivale, nel tentativo di isolare la lesione. Anche se, secondo un’analisi fatta dal gruppo di Koyanagy (2) c’è una netta prevalenza di gram-negativi. E con l’aggravante che le rugosità delle superfici degli impianti di ultima concezione, favoriscono l’attecchimento del biofilm batterico. Lo stesso Lang, però, accortosi che i dati raccolti non erano sufficienti ad una analisi esaustiva, nelle sue conclusioni si augura che vengano più spesso registrati in cartella dati clinici e radiografici che permettano di misurare un baseline che consenta di individuare l’insorgere della perimplantite.

E allora come fare a riconoscere la malattia perimplantare e, soprattutto, cosa si può realisticamente fare per prevenirla e curarla?

Riconoscere le perimplantite è relativamente semplice. Per chi non fosse avvezzo alla diagnosi, ci sono dati essenziali da prendere in considerazione, quando abbiamo un sospetto di perimplantite. Allo scopo può tornare utile, al clinico, la revisione della letteratura presentata in un lavoro fatto da Heitz Mayfields et. al. (2). Per tutti i ricercatori presi in esame, il dato clinico più significativo è sicuramente il sondaggio, con la rilevazione della profondità, del sanguinamento e la presenza o meno di essudato purulento o emorragico. Mentre il dato strumentale più indicato è la radiografia endorale con tecnica parallela, prendendo come baseline il collo dell’impianto. L’esame del fluido crevicolare può non essere particolarmente significativo, perché, come dimostrato in un lavoro di Mengele t. al. (3) le popolazioni batteriche non si differenziano in modo significativo rispetto alla flora microbiologica presente nelle parodontiti. Altri fattori, come storie pregresse di periodontiti, la presenza di malattie sistemiche come il diabete, e atteggiamenti viziati, quali l’uso di alcool ed il fumo, associati o meno a scarsa igiene orale, possono essere considerate concause interessanti. Se, però, i clinici ed i pazienti prestassero maggiore attenzione al problema (queste le conclusioni del loro lavoro) la loro scelta primaria sarebbe la prevenzione, che appare sicuramente come la soluzione migliore per evitare le infezioni perimplantari e, di conseguenza --e con le giuste considerazioni-- la scelta del paziente e il suo follow-up sarebbero l’unica garanzia per tenere basso il rischio di complicanze, sia tardive che precoci.

Infatti, in uno studio recente effettuato su 23 pazienti Serino (4) et. al. dimostrano che solo il 6% degli impianti presenti in pazienti senza segni di parodontite e con igiene ottimale, sono soggetti a malattia perimplantare e che questa colpisce di più i pazienti fumatori e quei singoli impianti a cui è difficile accedere per problemi protesici, nei quali l’igiene non risulta essere ottimale. Da qui il suggerimento, mai banale, di realizzare protesi che consentano un facile accesso per le manovre d’igiene. Le percentuale di perimplantite negli impianti difficili da detergere sale, infatti, vertiginosamente in questi casi al 64% contro un rischio del 12% nei casi di accesso agevole.

Sempre in un ottica di tipo preventivo è utile consultare il lavoro, più corposo nei numeri (111 pazienti), fatto da Carcuac et. al. (5) riguardante i fattori di rischio perimplantare. Innanzitutto e per maggiore chiarezza, i dati sono estrapolati da pazienti con diagnosi clinica di perimplantite, il che permette di prototipare il paziente a rischio. Questi è una donna di età media di 56 anni, o un uomo di 64, con una presenza media di 10 denti naturali ed un numero medio di 6 impianti presenti nelle arcate dentarie, con un preponderanza di fumatori rispetto ai non fumatori e con la presenza di riassorbimento osseo su uno o più elementi naturali. Nei fumatori circa il 78% degli impianti era colpito da malattia contro il 64% dei non fumatori. La vita media degli impianti colpiti era di circa 7 anni e la perdita ossea era più di un terzo della lunghezza dell’impianto, con un indice di sanguinamento e sondaggio superiore a 50%. Gli autori notavano, inoltre, una stretta correlazione fra perdita ossea intorno agli elementi dentari e attorno agli impianti. In accordo con altri studi, gli autori concludevano il loro lavoro affermando che il fumo rappresenta un alto indice di rischio perimplantare.

Stesse conclusioni a cui giungono un gruppo di ricercatori belgi capeggiati da Roos Jansaker (6) che osservano un numero ancora più alto di pazienti (257 e 1068 impianti) dopo un periodo variabile tra i 9 e i 14 anni dalla data di inserzione delle fixture. Anche per questo gruppo di studio, il fumo rappresenta un alto fattore di rischio, ma il dato più significativo che si estrapola dal loro lavoro è il fatto che dopo una decina di anni di vita nella bocca dei pazienti, le perimplantiti sono molto frequenti (65%) . Questo studio si segnala anche perché si pone, tra i primi, il quesito di come risolvere le perimplantiti. E prendendo spunto dal modello animale, variando i tipi di intervento (innesti di sostituto d’osso, con o senza membrane, sommergendo di nuovo l’impianto o lasciandolo emerso) gli autori giungono alla conclusione che, seppure come case report (quindi non con protocolli certi) appare possibile un parziale ripristino delle quote ossee perse.

Ma gli impianti sono tutti uguali nei confronti dell’attacco della placca batterica? Oppure la superficie della fixture influenza davvero la possibilità di sviluppare perimplantiti?

I dati sono non univoci. Un lavoro di Quirynen et.al. (7) fatto su impianti Branemark di diverso tipo, afferma che non c’è sostanziale differenza di comportamento tra gli impianti lisci e quelli con superficie rugosa, in chiara contraddizione con quanto rilevato da Lang nella metanalisi della letteratura citata all’inizio.

E allora che fare e come trattare le infezioni perimplantari?

Tra i pochi lavori che trattano direttamento l’argomento, mi piace ricordare due studi che suggeriscono uno stesso approccio nel trattare diversamente le mucositi dalle perimplantiti. Un lavoro fatto nel lontano 2002 dal gruppo di Porras (8) viene ribadito dal gruppo di Renvert (che analizza con una metanalisi nel 2009 i soli 24 lavori presenti in letteratura, ritenuti completi) ed entrambi convergono col dire che una terapia a base di clorexidina, associata alla igiene professionale ed al courettage non chirurgico delle fixture, può essere risolutiva nei confronti delle mucositi, ma non delle perimplantiti, anche se queste ultime possono trarre giovamento dalla terapia.

Il protocollo di trattamento delle perimplantiti ci viene suggerito da due lavori, entrambi del 2009, fatti da ricercatori brasiliani. Il primo lavoro di Maximo et. al. (9) ci indica che dopo aver aperto un lembo, trattato le superfici degli impianti con courette in teflon e un getto di air flow di carbonato di sodio, i livelli di batteri Treponella denticola , Tenerella forsithya, Parvimonas micra e di Fusobacterio nucleato erano sensibilmente ridotti, mentre si notava un modesto aumento di Porphyromonas gingivalis. Ridotti erano pure i valori del complemento e del Treponema socranskii.

Il secondo gruppo guidato da Duarte (10) usando lo stesso protocollo, (courette più air flow) invece di prendere in considerazione la carica batterica, ci dà la risposta immunologica, misurando le interleukine Il-4, i livelli di Tn-alpha, il fattore legante le Kb (RANKL) e le osteoprotegerine (OPG) presenti nel fluido sulculare dei pazienti affetti da perimplantiti. Tutti i parametri presi in considerazione, dopo tre mesi dal termine della terapia erano sensibilmente ridotti.

Conclusioni.

Le perimplantiti sono una affezione patologica che colpisce gli impianti, soprattutto nei fumatori con storia di pregressa malattia parodontale, di un’età tra i 55 e i 65 anni, che sopravvivono in bocca almeno dieci anni, con una incidenza piuttosto alta (circa il 65% dei casi). Determinante nella loro terapia è l’intercettazione precoce fatta, con sondaggi ed esami rx, quando la patologia è ancora nella fase di mucosite. In questo caso l’uso dell’igiene professionale associata ad una terapia con clorexidina, può essere risolutiva. Quando invece la perimplantite è chiaramente manifesta, diventa indispensabile eseguire un lembo a tutto spessore per decontaminare la superficie implantare. La terapia con curette di teflon e il trattamento con air flow a base di carbonato di calcio, sembra dare buoni risultati, mentre il ripristino delle quote ossee, mediante innesti di sostituti ossei e membrane appare ancora un protocollo non predicibile. Una maggiore attenzione nel reclutamento dei pazienti è fortemente suggerita, mentre appare indispensabile un protocollo di controlli periodici che rendano precocemente intercettabile la malattia.

Bibliografia

(1) -> 2011 Mar;38 Suppl 11:178-81. doi: 10.1111/j.1600-051X.2010.01674.x.
Periimplant diseases: where are we now?--Consensus of the Seventh European Workshop on Periodontology.
Lang NP, Berglundh T; Working Group 4 of Seventh European Workshop on Periodontology.
Collaborators (17)

(2) -> J Oral Microbiol. 2010; 2: 10.3402/jom.v2i0.5104.
Published online 2010 May 24. doi: 10.3402/jom.v2i0.5104
Analysis of microbiota associated with peri-implantitis using 16S rRNA gene clone library
Tatsuro Koyanagi,1,2 (1) Mitsuo Sakamoto, 2 Yasuo Takeuchi,1 Moriya Ohkuma, 2 and Yuichi Izumi1,3

(3) -> Aust Dent J. 2008 Jun; 53 Suppl 1:S43-8.
Diagnosis and management of peri-implant diseases.
Heitz-Mayfield LJ.

(3) -> J Clin Periodontol. 2008 Sep; 35(8 Suppl):292-304.
Peri-implant diseases: diagnosis and risk indicators.
Heitz-Mayfield LJ.

(4) -> J Periodontol. 2007 Dec;78(12):2229-37.
Osseointegrated implants in subjects treated for generalized aggressive periodontitis: 10-year results of a prospective, long-term cohort study.
Mengel R, Behle M, Flores-de-Jacoby L

(5) -> Clin Oral Implants Res. 2009 Feb;20(2):169-74. Epub 2008 Dec 1.
Peri-implantitis in partially edentulous patients: association with inadequate plaque control.
Serino G, Ström C.

(6) -> Swed Dent J. 2010;34(2):53-61.
Peri-implantitis in a specialist clinic of periodontology. Clinical features and risk indicators.
Carcuac O, Jansson L.

(7) -> Swed Dent J Suppl. 2007;(188):7-66.
Long time follow up of implant therapy and treatment of peri-implantitis.
Roos-Jansåker AM.

(8)Clin Oral Implants Res. 2001 Dec;12(6):589-94.
Peri-implant health around screw-shaped c.p. titanium machined implants in partially edentulous patients with or without ongoing periodontitis.
Quirynen M, Peeters W, Naert I, Coucke W, van Steenberghe D.

(9) -> J Periodontol. 2002 Oct;73(10):1118-25.
Clinical response to 2 different therapeutic regimens to treat peri-implant mucositis.
Porras R, Anderson GB, Caffesse R, Narendran S, Trejo PM.

(10) -> Clin Oral Implants Res. 2009 Jan;20(1):99-108.
Short-term clinical and microbiological evaluations of peri-implant diseases before and after mechanical anti-infective therapies.
Máximo MB, de Mendonça AC, Renata Santos V, Figueiredo LC, Feres M, Duarte PM

(11) -> J Periodontol. 2009 Feb;80(2):234-43.
Effect of anti-infective mechanical therapy on clinical parameters and cytokine levels in humanperi-implant diseases.
Duarte PM, de Mendonça AC, Máximo MB, Santos VR, Bastos MF, Nociti FH.



Parlami del tuo caso!

Contatta lo Studio Dentistico

Consento il trattamento dati Legge n. 196/03 - Privacy

Dott. Bruno Cirotti - Via Casimiro Teja, 16 - 00157 Roma (zona Tiburtina) - privacy

Iscritto all'albo dei medici chirurghi di Roma con nr.38614 e all'albo degli Odontoiatri di Roma con nr.1797 | Laurea in medicina e chirurgia presso l'Università La sapienza di Roma

AVVISO: Le informazioni contenute in questo sito non devono essere intese come sostitutive del parere clinico del medico, pertanto non vanno utilizzate
come strumento di autodiagnosi o di automedicazione. I consigli forniti via e-mail vanno intesi come meri suggerimenti di comportamento.
La visita medica tradizionale rappresenta il solo strumento diagnostico per un efficace trattamento terapeutico.

Ultima modifica: 01/02/2015

Questo sito fa uso di cookie. Per saperne di più leggi l'informativa

OK